Diş Dolgusu

ESTETİK DİŞ DOLGUSU

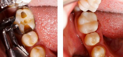
Yetersiz diş bakımı ve temizliği nedeniyle çürüyen dişlere dolgu uygulaması ile dişin eski işlevini yerine getirmesini sağlayan tedavi yaklaşımıdır.

Diş Dolgusu nedir?

Çürük veya aşınma sebebiyle yapısal bütünlüğünü ve fonksiyonunu kaybetmiş bir dişe, bozulmuş dokuların dişten uzaklaştırılarak yeniden fonksiyon ve görüntüsünün kazandırılması işlemine ‘’dolgu yapmak’’ kullanılan malzemeye de ‘’dolgu malzemesi’’ denilmektedir.

Diş hekimliğinin ilk zamanlarından beri uygulanan bu tedavi yöntemi gelişen teknolojinin kullanılan materyaller üzerindeki etkisiyle uzun süreli ve estetik beklentilerin karşılandığı tedavi seçeneğini hastalara sunmaktadır.

Diş Dolgusu Animasyon

PlayVideo